【自由が丘】卵巣嚢腫で手術を迷う方へ | 鍼灸でできること、サイズ減少の実例と当院の考え
2025.12.23更新
自由が丘の森鍼灸整骨院、院長の森です。
毎月、当院には多くの患者様から**「卵巣嚢腫で手術を勧められたが、できれば避けたい」「経過観察と言われたが、何もしないのは不安」**といった切実なご相談をいただきます。
卵巣嚢腫は、大きさに関わらず「手術」という言葉が出ると驚いてしまうものです。この記事では、そんなお悩みをお持ちの方に向けて、当院の豊富な経験と、鍼灸施術による改善実例を詳しくご案内します。鍼灸があなたの新しい希望になるかもしれません。ぜひ最後までお読みください。
1. 卵巣嚢腫とは?基礎知識と4つの種類
卵巣に液体や脂肪などが溜まってできる良性の腫瘍を卵巣嚢腫と呼びます。主に以下の4つのタイプがあります。
①漿液性(しょうえきせい)嚢腫:サラサラした液体が溜まる
②粘液性(ねんえきせい)嚢腫:ドロドロした粘液が溜まる
③皮様(ひよう)嚢腫:髪の毛や歯、脂肪などが含まれる
④チョコレート嚢胞:子宮内膜症により古い血液が溜まる
10代から90代まで幅広く見られますが、自覚症状は様々です。強い月経痛、下腹部痛、お腹の圧迫感、頻尿、便秘、腰痛などが代表的です。
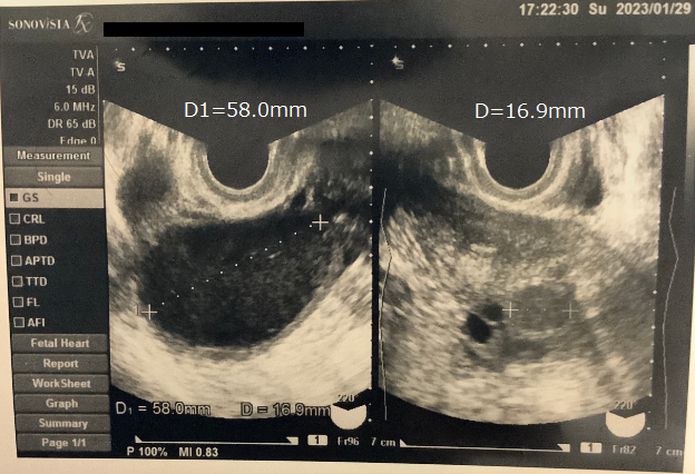
2. 「5cm前後で手術」と言われた方へ
当院にご相談いただく方で最も多いのは、嚢腫のサイズが4cm〜6cm前後の方です。 婦人科で「5cmを超えたら手術を検討しましょう」と告げられ、不安になって当院を訪ねられます。当院では、鍼灸を通してご自身の回復力を高め、**「手術以外の選択肢」**を真剣にサポートしています。
3. 当院の専門施術「女性のお悩み全身コース」
当院の施術は、嚢腫という「点」だけを見るのではなく、お身体全体を整えるアプローチを行います。
・脈診(みゃくしん)に基づいたオーダーメイド施術
手首の脈からお身体の状態を確認し、その時の体調に最適なツボを選びます。内側から健康になるよう、優しく背中を押してあげるような施術です。
・生理痛や生理時の不調もまとめてケア
鍼灸施術を継続することで、嚢腫へのアプローチだけでなく、**「長年悩んでいた生理痛が軽くなった」「生理前のイライラ(PMS)や不調が和らいだ」**というお声を非常に多くいただきます。骨盤内の血流を整えることで、女性特有の多方面なお悩みに効果が期待できます。
・持続的に働く「置き鍼」
長さ4mmほどの非常に短い「置き鍼」をテープで貼ることで、日常生活の中でも持続的にアプローチします。痛みはほとんどありませんので、初めての方もご安心ください。
4. 施術の実例と通院の目安
※個々の状態により変わりますが、平均的な経過をご紹介します。
【推奨する来院頻度】
・初回〜7回前後:7〜10日に1度
・それ以降:10日〜14日に1度 (手首の脈の状態をみて最適な頻度をご提案します)
【改善の実例】
・チョコレート嚢胞・子宮内膜症
・30代・4cm:婦人科処方(ジェノゲスト)と併用し、約1年で正常値へ。
・40代・5cm:漢方と鍼施術を継続。手術を回避し、約3年で正常値へ。
・皮様嚢腫 「大きくしない・現状維持」を第一目標とします。稀に最大2cmほどのサイズ減少が見られるケースもあります。
・漿液性・粘液性嚢腫 2〜3cm減少する方、現状維持の方など様々です。10cmを超える大きなサイズの場合は、リスクを正直にお伝えした上で、婦人科と連携しつつ最善の道を一緒に考えます。
最後に:一人で悩まずにご相談ください
「私のサイズでも手術を避けられる?」「生理痛も一緒に診てほしい」といった不安や疑問は、まずは私たちに聞かせてください。
すべてのことを書ききれていませんが、初診時に丁寧にご説明いたします。手術という決断を下す前に、鍼灸でできることがきっとあります。
【LINEでのご相談が便利です】
投稿者:





















